Front page
Veterinary Microbiology
Food Microbiology
Interdisciplinary Atlas
Select medium
Plates:
Aesculin Blood Agar
BLS Agar
Casein Hydrolysis
DNA Hydrolysis Test
EMB Agar
Enterococcus Agar
Gelatin Hydrolysis
Kings B Agar
Lecithinase Test
Sensitivity to Nalidixic Acid
Sensitivity to O/129
Starch Hydrolysis
Tubes:
Aesculin Hydrolysis
Alpha-Methyl-D-Mannoside
Ammonium Salt Sugars
BGBL
Carbohydrate Fermentation 1
Carbohydrate Fermentation 2
Carbohydrate Fermentation 3
Coagulase Test
Decarboxylase Test
EC Broth
Hippurate Hydrolysis
Indole Test
LIA
Loeffler Serum Slopes
Malonate Test
Metabisulphite Reduction
Methyl Red Test
Motility Test
MRS
Nitrate Reduction Test 1
Nitrate Reduction Test 2
OF Test 1
OF Test 2
OF Test 3
ONPG
Phenylalanine Deaminase
Simmons citrate
TSI 1
TSI 2
TSI 3
Urease Test
Voges-Proskauer Test
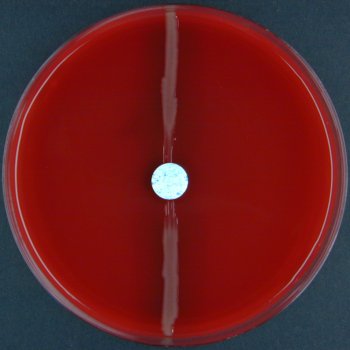
Sensitivity to O/129
Resistant:
Aeromonas hydrophila
Sensitive:
Vibrio parahaemolyticus
This test is used to determine whether an organism is sensitive to the pteridine derivative O/129 (2,4-diamino-6,7-diisopropylpteridine), which is inhibitory to vibrios.
© Department of Veterinary Disease Biology 2011
Faculty of Health and Medical Sciences - University of Copenhagen
Denmark